0289-74-7855

胃切開術(異物誤飲)

サモエド
7ヶ月齢
未去勢雄

前日の夜間にコーヒーフレッシュを食べ、その後から複数回嘔吐と食欲低下があることを主訴に来院されました。エコー検査で胃内に異物を疑う所見があったため、内視鏡検査を実施しました。内視鏡検査で胃内に大量のコーヒーフレッシュを確認しましたが、あまりにも量が多く内視鏡での摘出は不可能と判断し、そのまま胃切開術を実施しました。コーヒーフレッシュ以外にも、菜箸の破片やスポンジなどが摘出されました。

異物の誤飲は非常に多い疾患です。今回の症例さんでは量が多かったために内視鏡での摘出はできませんでしたが、胃内にあるうちに来院していただければ開腹手術をせずに内視鏡摘出で済む場合もあります。誤飲をしたことが確実な場合は、様子を見ずに早めに来院してください。
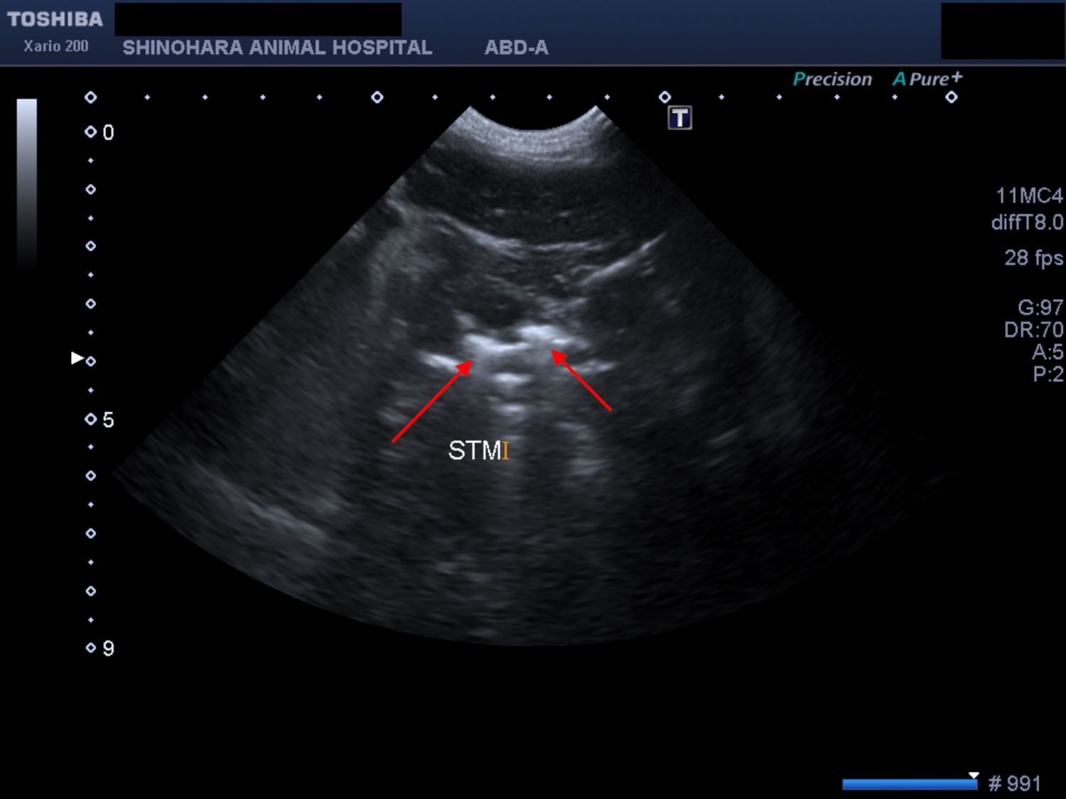
コーヒーフレッシュの影が映っています(赤矢印)
33個出てきました

別の猫の症例

乳腺癌

ミニチュア・ダックスフント14歳8ヶ月避妊雌以前からあった左第4乳腺部の腫瘤が急激に大きくなったた…

More

肛門周囲腺癌

チワワ13歳8ヶ月齢去勢雄7ヶ月程前からある肛門周りのしこり(腫瘤)が大きくなってきていることを主…

More

レッグ・カルべ・ペルテス病(無菌性大腿骨頭壊死症)

トイ・プードル10ヶ月齢避妊済み雌約1ヶ月続く左後ろ足の跛行を主訴に、他院さんから紹介受診されまし…

More

症例集に戻る
copyright © しのはら動物病院 all rights reserved.